La Ecografía o Ultrasonografía tiene un rol muy importante en la evaluación de los riñones. Si bien es cierto es un examen auxiliar y depende del observador, una examen bien realizado puede ayudarnos a enfocar de mejor manera el estado de nuestros riñones.

¿Para qué nos sirve?
En primer lugar nos sirve para poder determinar la ubicación habitual de ambos riñones, pues se han visto casos que por un examen ecográfico de rutina se han identificado alteraciones como ausencia de un riñón, riñones en herradura, quise múltiples, etc. asimismo, nos sirve para determinar aproximadamente el tamaño de ambos riñones.

En segundo lugar, nos sirve para evaluar las vías urinarias, uréteres y vejiga, donde podremos ver si existen obstrucciones o dilataciones ureterales (hidronefrosis) o litiasis renal (cálculos). Se puede estimar también la capacidad de la vejiga, y si es que luego de evacuar la orina, hay presencia de un significativo Residuo Post Miccional.

Aunque la sensibilidad para el diagnóstico de cálculos urinarios o litiasis en de solamente el 33% para la ecografía, es un primer estudio a realizar, pues el examen radiológico ideal para diagnosticar la presencia de litiasis, definir el tamaño, la ubicación y composición de la litiasis es mejor la Tomografía sin contraste.

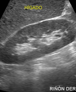
En tercer lugar, nos sirve para determinar el espesor y la ecogenicidad de la corteza o parenquima renal. el espesor normal es de 18 a 20 mm; a medida que la enfermedad renal progresa a estadíos mas avanzados la corteza se va adelgazando, teniendo valores de 10 a 12 mm cuando el riñón ya está en estadíos muy avanzados es decir, cuando ya esta presente una enfermedad renal crónica.

Asimismo, la ecogenicidad de la corteza se altera cuando hay procesos inflamatorios, infecciosos, o inmunológicos, podría definirnos si nos encontramos ante un cuadro agudo o crónico, o ante un rechazo inmunológico en un trasplante, etc.

Otro estudio por ecografía muy útil es el Doppler de arterias renales, sobretodo cuando se sospecha de Hipertensión Renovascular debida a una Estenosis de Arteria Renal, en pacientes que inexplicablemente presentan elevación de la Presión Arterial, sostenida, o de difícil manejo. El doppler puede darnos una sensibilidad moderada pero el estudio ideal es la Arteriografía (Angiografía) o la Angiorresonancia.

En síntesis, el estudio ecográfico es muy útil en la aproximación diagnóstica en un paciente, pero al ser un estudio basado en ondas de sonido, no describe imágenes reales sino los «ecos» que éstas producen al ser expuestas al traductor del sonógrafo. Depende también además, del observador, es decir, del médico que realiza el examen pues pueden variar entre diferentes observadores. De todas maneras recomendamos que la ecografía o ultrasonografía sea realizada por un medico con especialidad hospitalaria de Radiología.
Pingback: Hipertensión Arterial y Riñón – NEFROLOGIA: ¿Están bien tus RIÑONES?